بحث

بحوث تنجح في التأكيد من مساعدة الذكاء الاصطناعي بتشخيص"الصرع"

الثلاثاء 07/أكتوبر/2025 - الساعة: 12:42 م

بحرالعرب_متابعات:

 

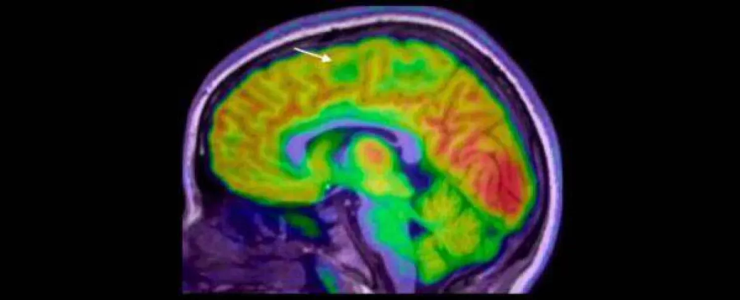
نجح فريق بحثي من «معهد مردوخ لبحوث الأطفال» (Murdoch Children's Research)، والمستشفى الملكي للأطفال، بملبورن في أستراليا، في تطوير جهاز لتشخيص الصرع بالذكاء، يستطيع رصد وجود خلل في أنسجة القشرة المخية، لا يمكن رصده من خلال فحص الأشعة العادي.

 

وقال الباحثون إن نسبة نجاح الجهاز الاصطناعي (AI epilepsy detective) في التشخيص بدقة تصل إلى 94 في المائة من الحالات، ما يساعد آلاف المرضى من خلال تشخيصهم بشكل مبكر؛ حيث يعاني طفل من كل 200 طفل تقريباً في أستراليا من مرض الصرع.

 

وأوضحت الدراسة التي نُشرت في نهاية شهر سبتمبر من العام الحالي، في مجلة «الصرع» (Epilepsia)، أن الجهاز الجديد قادر على التشخيص بدقة لأي خلل صغير في أنسجة القشرة المخية، ما يؤدي إلى تدخلات جراحية أسرع لعلاج حالات الصرع العنيفة، ومن ثَمَّ تقليل تكرار النوبات، وتحسين نتائج النمو على المدى الطويل.

 

العرض الرئيسي في مرض الصرع هو نوبة تشنجات متكررة. وهناك بعض الأنواع العنيفة التي تحدث بسبب وجود خلل في نسيج القشرة المخية، يتطور خلال وجود الجنين في الرحم، فتحدث نوبات عنيفة لا تستجيب لعمل الأدوية المضادة للتشنجات.

 

في العادة، تبدأ النوبات فجأة خلال مرحلة ما قبل المدرسة، أو السنوات الدراسية الأولى قبل أن تتفاقم إلى مرات عدَّة يومياً. وفي حالة النوبات التي لا تستجيب للأدوية، تكون الجراحة -في الأغلب- هي العلاج الرئيسي، إذا أمكن تحديد الأنسجة غير الطبيعية في المخ وإزالتها.

 

من المعروف أن الجراحات الحرجة مثل التي يتم إجراؤها في المخ، تعتمد بشكل أساسي على دقة التشخيص من خلال التصوير المتقدم للأنسجة؛ حيث يُمكن لجرَّاح الأعصاب إجراء جراحة أكثر أماناً، لتجنب الأوعية الدموية المهمة، ومناطق المخ التي تتحكم في الكلام والتفكير والحركة، وأيضاً لتجنب استئصال أي أنسجة سليمة عن طريق الخطأ.

 

شملت الدراسة 71 طفلاً من المستشفى الملكي للأطفال، و23 من البالغين في مستشفى أوستن، وجميعهم يعانون خللاً في نسيج المخ يسبب بؤرة صرعية، ما يُسبب نوبات متكررة.

 

والجدير بالذكر، أن نسبة من المرضى بلغت 80 في المائة، لم يتم تشخيصهم بالفحص البشري لأشعة الرنين المغناطيسي، قبل استخدام الجهاز الجديد، ما يوضح مدى دقته.

 

قام الباحثون باستخدام التصوير بالرنين المغناطيسي لتدريب الجهاز الجديد، وبعد ذلك قاموا بتقسيم الأطفال إلى مجموعتين للتدريب، كما استُخدمت مجموعة منفصلة من فحوصات البالغين للتحقق الإضافي من أداء الجهاز.

 

ومن خلال فحص أشعة الرنين المغناطيسي، تمكن الجهاز الجديد من تشخيص معظم الحالات بنسبة نجاح بلغت 94 في المائة ،ومن بين 17 طفلاً في المجموعة التجريبية، خضع 12 منهم لعملية جراحية، وتعافى 11 منهم الآن من النوبات.

 

أكد الباحثون أن اكتشاف وجود الخلل في نسيج القشرة المخية من خلال فحوصات الرنين المغناطيسي الروتينية، يُعد أمراً بالغ الصعوبة؛ حيث يتم التعرف على أقل من نصفها فقط في أول فحص للطفل، ما يؤخر التشخيص، ومن ثَمَّ يحرم الطفل من فرصة إجراء الجراحة في وقت مبكر، وكلما طالت مدة معاناة الطفل من النوبات شديدة الحدة، زاد احتمال إصابته بصعوبات التعلم، بما في ذلك الإعاقة الذهنية.

 

في النهاية، أعرب العلماء عن أملهم في تعميم استخدام الجهاز الجديد في تشخيص مرض الصرع، في معظم المراكز الصحية، حتى يمكن اللجوء إلى الإجراء الجراحي، كعلاج للأنواع التي لا تستجيب بشكل جيد للأدوية المضادة للتشنجات، في وقت مبكر من حياة الطفل.

متعلقات:

آخر الأخبار